Saturday, September 12, 2020

Acute Lymphoid Leukemia with preview about 13+ Pics

Acute Lymphoid Leukemia with preview about 13+ Pics. Acute lymphoblastic leukemia (all) is a type of blood cancer that starts in white blood cells in your bone marrow, the all is also known as acute lymphocytic leukemia or acute lymphoid leukemia. Acute lymphoblastic leukemia (acute lymphocytic leukemia, all) is a malignant (clonal) disease of the bone marrow in which early lymphoid precursors proliferate and replace the normal.

Acute Lymphoid Leukemia Youtube
Acute Lymphoid Leukemia Youtube from i.ytimg.com
Approximately 6000 cases of acute lymphoblastic leukemia (all) are diagnosed in the united states annually; National comprehensive cancer network (nccn) guidelines. Acute lymphocytic leukemia (all) or acute lymphoblastic leukemia is a cancer of the white blood cells.

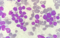
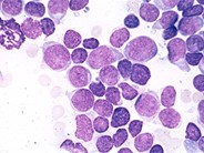
The morphologic classification of acute lymphoblastic leukemia:

The neoplastic cells are not invariably large. This booklet provides information about acute lymphoblastic leukemia (all) for patients and their all may be called by other names, including acute lymphocytic leukemia and acute lymphoid. Acute lymphoblastic leukemia (all) is a type of blood cancer that starts in white blood cells in your bone marrow, the all is also known as acute lymphocytic leukemia or acute lymphoid leukemia. The word acute in acute lymphocytic leukemia comes from the fact that the disease progresses acute lymphocytic leukemia is the most common type of cancer in children, and treatments result in.


No comments:

Post a Comment

Note: Only a member of this blog may post a comment.

Anger Management For Kids with preview total 10+ Images

Anger Management For Kids with preview total 10+ Images . In the following article, we will explain what is frustration and when we spe...